OPERASI MATA

Mata yang lebih besar dan cerah dengan tetap mempertahankan
penampilan alami

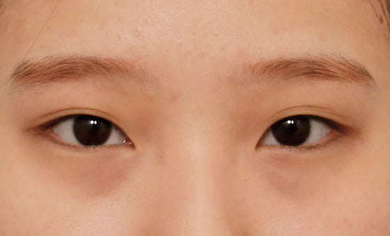
OPERASI MATA

Mata yang lebih besar dan cerah dengan tetap mempertahankan
penampilan alami

Lipatan Kelopak
Mata Non-Sayatan

  • WAKTU OPERASI

    Sekitar 30 menit

  • ANESTESI

    Bius Lokal

  • PELEPASAN JAHITAN

    3-5 hari setelah operasi apabila diperlukan

  • RAWAT INAP

    Pulang pada hari yang sama

  • RAWAT JALAN

    1 kali kunjungan untuk pelepasan jahitan

  • PEMULIHAN

    Dapat kembali melakukan aktivitas normal
    setelah 3 hari

BANOBAGI PLASTIC SURGERY

COCOK UNTUK ANDA

  • Case.01

    Saya takut
    melakukan
    sayatan

  • Case.02

    Menginginkan
    lipatan mata
    yang alami

  • Case.03

    Untuk kulit kelopak
    mata yang tipis
    dan tidak menurun

  • Case.04

    Jadwal padat
    dan ingin
    pemulihan cepat

  • Case.05

    Khawatir dengan
    bekas luka
    setelah operasi

METODE OPERASI

  • 01

    Semua diagnosa dan desain
    dibuat berdasarkan kebutuhan
    setiap pasien.

  • 02

    Pembuatan 5-7 lubang micro
    sepanjang desain yang dibuat.

  • 03

    Setelah mengangkat jaringan
    dan lemak yang yang berlebih
    dari lubang tersebut, akan dijahit
    dengan metode dua kali pengika
    tan agar terikat dengan kuat.

  • 04

    Menghasilkan lipatan mata
    yang tahan lama dan terlihat
    alami.

HANYA DI BANOBAGI

  • Menggunakan metode dua kali pengikatan
    dengan hanya membuat beberapa lubang micro yang
    ditetapkan dengan kuat
  • Meminimalisir kemungkinan terbukanya hasil lipatan
    mata (di bawah 1%)
  • Ikatan yang ditetapkan dengan kuat pada otot bukan
    pada kulit untuk menghindari lepasnya hasil lipatan mata
  • Terlihat alami

NILAI INTI BANOBAGI

Penggabungan banyaknya
pengalaman klinis dan
keahlian dari para ahli di
bidangnya.
Dengan penelitian dan
usaha selama
bertahun-tahun, mampu
memberikan solusi yang
tepat untuk case pasien
luar negeri tiap
individualnya.
Menggunakan peralatan
medis dan obat-obatan
dengan kualitas terbaik
yang dipilih dengan
seksama.
Untuk kenyamanan dan
kemudahan bagi para
pasien yang berasal dari luar
Korea, kami menyediakan 1:1
koordinator, penginapan,
transportasi, dll.
Ahli anestesi di tempat
yang ahli di bidangnya.
Pembedahan yang
dilakukan oleh dokter yang
secara jujur dengan sistem
real-person yang
terpercaya

SEBELUM & SESUDAH

BEFORE AFTER
BEFORE AFTER

LEBIH BAIK JIKA DILAKUKAN
BERSAMAAN

Double eyelid surgery is one of the most common cosmetic surgeries in South Korea. Korean Double Eyelid surgery is a procedure that creates a crease in the upper eyelid. This can open up the eyes and make it appear bigger. In some cases, it can also make it easier to apply makeup, since with hooded eyes, it can cause liner or shadow transfer. This surgery is popular in Korea and among people of East Asian descent. It’s different from other eyelid surgeries like blepharoplasty, which often aims to remove excess skin or fat from the eyelids for a more youthful look. Korean Double Eyelid surgery focuses specifically on creating or enhancing the eyelid crease. Both types of surgery can improve the appearance of the eyes, but they serve different purposes.

You may be a good candidate for Korean Double Eyelid surgery if you lack a natural crease in your upper eyelids and desire to have one. People who seek a more defined eyelid fold or a wider, more open eye appearance often opt for this procedure. It’s also important to be in good overall health, as this helps with both the surgery itself and the recovery process. If you have any eye conditions, you should consult with a medical professional before considering the surgery. A consultation with a qualified plastic surgeon can help you determine if this procedure is the right fit for you.

The recovery period for Korean Double Eyelid surgery can vary depending on whether the surgery method is Incisional or Non-Incisional.

For the Incisional Method, you can expect a longer recovery time. Swelling and bruising are common, and you’ll likely need to have stitch removal on the 7th day of your post-surgery. It might take up to a week to a month for swelling to subside depending on individual condition and more likely to see the final results as time goes by.

For Non-Incisional Method, it has a quicker recovery time. You may experience some mild swelling or bruising compared to the incisional method. However, the results from the non-incisional method may not be as long-lasting as those from the incisional method.

In some cases, non-incisional methods may not be suitable due to thick skin and fat tissue on the upper eyelid. So, it is important to check with your surgeon in person to see which procedure is suitable for you.

The cost of Korean Double Eyelid surgery can vary widely depending on several factors such as the surgeon’s experience, the geographic location of the clinic, and the specific technique used for the procedure. Incisional methods generally cost more than non-incisional method ones due to the complexity and the use of anesthesia. Price range starts from a few thousand dollars.

It’s important to note that the quoted cost often includes not just the surgery itself, but also preoperative consultations, anesthesia fees, and post-operative care.

The type of anesthesia used during Korean Double Eyelid surgery is sedation. It helps patients to relax during the surgery. Also, the surgeon needs to see the lines or folds while asking patients to open and close their eyes, this means you’ll be awake but won’t feel pain in the treated area.

The duration of the Double Eyelid surgery can vary based on the technique used and the specific needs of the patient. Generally speaking, non-incisional methods can take as little as about 30 minutes. Incisional methods that involve cutting and removing tissue may take longer, typically ranging up to an hour.

Your surgeon will give you a more accurate estimate during your consultation, as the time needed can also depend on factors like the complexity of your case and whether you’re combining the eyelid surgery with other procedures.

Yes, it’s possible to combine Double Eyelid surgery with other facial procedures like a nose job (rhinoplasty) or face lift. Combining surgeries can be beneficial for those looking to achieve a more comprehensive facial transformation and balanced results. It also allows for a single recovery period for multiple procedures, which can be more convenient.

There are some pre-operative preparations you’ll need to make before undergoing Double Eyelid surgery. You will be asked to undergo a certain pre-operative blood test to ensure you’re in good health. If you’re a smoker, you’ll likely need to quit several weeks before the surgery, as smoking can interfere with healing. You may also be advised to stop taking certain medications or supplements that can increase bleeding, like aspirin and vitamin E.

Before the surgery, you’ll also receive guidelines on eating and drinking; you need to fast for at least 6 hours prior to the procedure. Make sure to arrange for someone to drive you home after the surgery, and following your surgeon’s instructions closely will help ensure a smoother procedure and recovery.

The longevity of the results from Double Eyelid surgery can vary depending on the technique used and individual factors like age and skin elasticity. Incisional methods, which involve removing tissue and creating a more permanent structure, generally offer longer-lasting results that can be considered permanent for many people.

Non-incisional methods may offer results that are less permanent. In some cases, the sutures can loosen over time, and you may need a touch-up or a revision procedure for longer-lasting results.

It’s important to discuss your expectations and the longevity of the results with your surgeon during your consultation. While many people find that the surgery offers a long-term solution, aging and lifestyle factors can affect the appearance of your eyelids over time.

It is fine for patients who have done Double Eyelid surgery to return to work or resume normal activities within 1 week. Depending on the patient’s skin condition and type, swelling and bruises may remain for a few more days.

Alcohol and cigarette consumption must be avoided at all costs for a month, and excessive exercising and stress must be avoided as well. Drinking alcohol may cause inflammation, and smoking contracts blood vessels, delaying recovery.

Any severe swelling after surgery will continue for 2-3 days and will gradually reduce. Sensation will gradually improve within 6 months after surgery and recovery pace may differ per individual.

Your surgeon will provide you with specific guidelines for resuming activities based on your personal situation. It’s important to follow these instructions carefully to ensure a smooth recovery.

At Banobagi, our surgeons are highly qualified and experienced in performing Double Eyelid surgery. They are board-certified, ensuring that they meet the stringent standards of medical competence and ethics. Furthermore, many of our surgeons have graduated from Korea’s prestigious universities which are renowned for their medical programs.

With years of hands-on experience, our team specializes in both incisional and non-incisional methods for eyelid surgery. This depth of expertise allows us to offer personalized treatment plans that are tailored to meet the unique needs and aesthetic goals of each patient. We are committed to upholding the highest standards of patient care and delivering optimal results.

You’ll need to wait before you start wearing eye makeup again after the surgery. Usually, it’s advised to avoid makeup for at least a week or two to minimize the risk of infection or irritation in the surgical area. You should be careful when removing the makeup not to give too much pressure or rubbing the incisional area too hard. It’s essential to follow your surgeon’s guidelines closely to ensure a smooth recovery and the best possible results.

BANOBAGI PLASTIC SURGERY

LEBIH BAIK JIKA DILAKUKAN
BERSAMAAN

KUNJUNGI KAMI

517 Nonhyeon-Ro, Gangnam-Gu, Seoul Korea

X

emailicon E-MAIL

indonesia@banobagi.com

Jangan sungkan untuk hubungi
kami dan kami akan memberi respon
secepat mungkin.
go-top go-top