CANTHOPLASTY / PEMBUKAAN SUDUT

Menghasilkan mata yang besar dan lebar dengan menambahkan panjang
secara vertikal dan horizontal

CANTHOPLASTY / PEMBUKAAN SUDUT

Menghasilkan mata yang besar dan lebar dengan menambahkan panjang
secara vertikal dan horizontal

CANTHOPLASTY
/ PEMBUKAAN SUDUT

  • WAKTU OPERASI

    Sekitar 30 Menit

  • ANESTESI

    Bius Tidur/Sedasi

  • PELEPASAN JAHITAN

    Setelah sekitar 7 hari

  • RAWAT INAP

    Pulang pada hari yang sama

  • RAWAT JALAN

    1 kali kunjungan untuk pelepasan jahitan

  • PEMULIHAN

    Dapat kembali melakukan aktivitas normal
    dalam 3~5 hari

BANOBAGI PLASTIC SURGERY

COCOK UNTUK ANDA

  • Case.01

    Menginginkan mata
    yang lebih lebar
    dengan membentuk
    ulang sudut depan
    mata

  • Case.02

    Menginginkan
    mendekatkan jarak
    antara mata

  • Case.03

    Bagian pojok dalam
    tertutupi dengan
    lipatan epicanthal

  • Case.04

    Ingin memperbaiki
    titik mulai yang
    menarik
    untuk lipatan
    kelopak mata

  • Case.05

    Memiliki lipatan
    kelopak mata namun
    menginginkan
    tampilan yang lebih
    lembut dan lebih
    terbuka

  • Case.01

    Menginginkan mata
    yang lebih lebar

  • Case.02

    Glabella yang terlalu
    sempit
    untuk
    melakukan
    epicanthoplasty

  • Case.03

    Ingin memperlebar
    ekor luar
    mata agar
    mata terlihat lebih
    lebar

  • Case.04

    Memiliki ekor
    mata yang naik

  • Case.05

    Memiliki lipatan
    kelopak mata namun
    menginginkan
    penampilan yang
    lebih segar dan muda

  • Case.01

    Ingin memperlebar
    mata dengan
    menambah panjang
    vertikalnya

  • Case.02

    Menginginkkan mata
    yang terlihat lembut
    dan polos

  • Case.03

    Memiiliki mata yang
    terlihat penuh
    dikarenakan oleh
    pupil bagian bawah
    tertutup

  • Case.04

    Pernah melakukan
    lateral canthoplasty,
    namun masih
    menginginkan bagian
    pojok luar
    pada mata
    menjadi lebih rendah

  • Case.05

    Menginginkan bagian
    putih mata lebih
    terlihat
    dan membuat
    pupil mata berada
    di tengah mata

METODE OPERASI

  • 01

    Bentuk depan mata yang
    terlihat suram

  • 02

    Membuat desain bentuk mata
    yang lebih seimbang dengan
    wajah

  • 03

    Membuat sayatan mengikuti
    lipatan epicanthal

  • 04

    Reposisi bagian ekor depan
    mata pada jarak yang
    memungkinkan

  • 05

    Membuat jahitan pada bagian
    dalam mata agar bekas luka
    tidak terlihat

  • 06

    Sudut depan mata yang lebih
    terbuka menghasilkan
    penampilan mata yang lebih
    lebar

HANYA DI BANOBAGI

  • Canthoplasty menghasilkan mata yang lebih lebar
  • Sudut mata disesuaikan untuk menghasilkan
    penampilan mata yang optimal dan meningkatkan
    keseluruhan tampilan
  • Canthoplasty dapat menghasilkan efek sinergi dengan
    operasi lipatan kelopak mata
  • Hasil yang bertahan lama dan memuaskan dipastikan
    dengan membuat jahitan secara menyeluruh dan
    desain yang dibuat agar mata lebih seimbang dengan
    wajah

NILAI INTI BANOBAGI

Menggunakan peralatan
medis dan obat-obatan
dengan kualitas terbaik
yang dipilih dengan
seksama.
Untuk kenyamanan dan
kemudahan bagi para
pasien yang berasal dari luar
Korea, kami menyediakan 1:1
koordinator, penginapan,
transportasi, dll.
Ahli anestesi di tempat
yang ahli di bidangnya.
Pembedahan yang
dilakukan oleh dokter yang
secara jujur dengan sistem
real-person yang
terpercaya
Penggabungan banyaknya
pengalaman klinis dan
keahlian dari para ahli di
bidangnya.
Dengan penelitian dan
usaha selama
bertahun-tahun, mampu
memberikan solusi yang
tepat untuk case pasien
luar negeri tiap
individualnya.

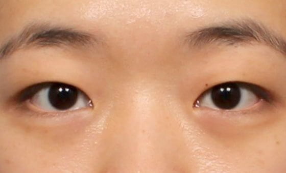
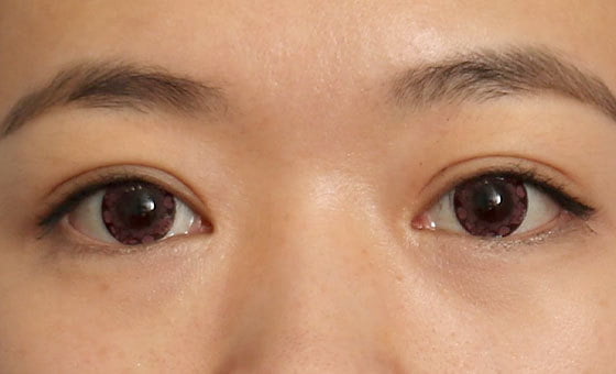
SEBELUM & SESUDAH

BEFORE AFTER
BEFORE AFTER

BANOBAGI PLASTIC SURGERY

LEBIH BAIK JIKA DILAKUKAN
BERSAMAAN

KUNJUNGI KAMI

517 Nonhyeon-Ro, Gangnam-Gu, Seoul Korea

X

emailicon E-MAIL

english@banobagi.com

Please feel free to contact us,
and we will reply you as soon as possible.
go-top go-top