OPERASI MATA PARUH BAYA

Kembalikan waktu untuk mata yang menua

OPERASI MATA PARUH BAYA

Kembalikan waktu untuk mata yang menua

UPPER

BLEPHAROPLASTY

  • WAKTU OPERASI

    Sekitar 30 menit

  • ANESTESI

    Bius Tidur/Sedasi

  • PELEPASAN JAHITAN

    Sekitar 7 hari

  • RAWAT INAP

    Pulang pada hari yang sama

  • RAWAT JALAN

    1 kali kunjungan untuk pelepasan jahitan

  • PEMULIHAN

    Dapat kembali melakukan aktivitas normal
    dalam 5~7 hari

BANOBAGI PLASTIC SURGERY

COCOK UNTUK ANDA

  • Case.01

    Lipatas mata bagian
    atas tertutup oleh
    kelopak mata yang
    menurun

  • Case.02

    Kelopak mata yang
    menurun
    mengganggu
    penglihatan

  • Case.03

    Mata sering bengkak
    dan berair

  • Case.04

    Adanya inflamasi
    pada kelopak
    mata

    dikarenakan
    oleh kelopak mata
    yang menurun

  • Case.05

    Terlihat tua
    dikarenakan oleh
    elastisitas yang hilang
    pada kelopak mata

METODE OPERASI

  • 01

    Mata yang menurun sebelum
    operasi dan metode operasi
    akan disesuaikan dengan
    masing – masing pasien

  • 02

    Setelah sayatan dibuat, kulit,
    otot dan lemak yang berlebih
    akan diangkat

  • 03

    Otot pembuka mata akan
    dikencangkan dan sayatan
    dijahit

  • 04

    Menghasilkan mata yang
    lebih cerah dan penglihatan
    yang lebih jelas

HANYA DI BANOBAGI

  • Menyesuaikan desain operasi berdasarkan struktur
    wajah masing – masing individu dan fiturnya
  • Perhitungan yang tepat untuk sayatan yang
    dilakukan pada kelopak mata
  • Sayatan yang minim untuk pemulihan yang
    lebih cepat
  • Menghasilkan mata yang lebih cerah dan segar

NILAI INTI BANOBAGI

Fasilitas yang nyaman dan
ramah.
Untuk kenyamanan dan
kemudahan bagi para
pasien yang berasal dari luar
Korea, kami menyediakan 1:1
koordinator, penginapan,
transportasi, dll.
Ahli anestesi di tempat
yang ahli di bidangnya.
Pembedahan yang
dilakukan oleh dokter yang
secara jujur dengan sistem
real-person yang
terpercaya
Penggabungan banyaknya
pengalaman klinis dan
keahlian dari para ahli di
bidangnya.
Dengan penelitian dan
usaha selama
bertahun-tahun, mampu
memberikan solusi yang
tepat untuk case pasien
luar negeri tiap
individualnya.

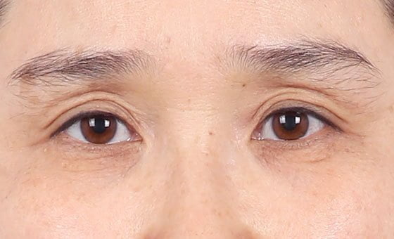
SEBELUM & SESUDAH

BEFORE AFTER
BEFORE AFTER

BANOBAGI PLASTIC SURGERY

LEBIH BAIK JIKA DILAKUKAN
BERSAMAAN

KUNJUNGI KAMI

517 Nonhyeon-Ro, Gangnam-Gu, Seoul Korea

X

emailicon E-MAIL

english@banobagi.com

Please feel free to contact us,
and we will reply you as soon as possible.
go-top go-top